Ortodoncia en
Rancagua
Dirigido por ortodoncistas de la Universidad de Chile
Central Ortodoncia es una clínica dental de iniciativa privada formada por especialistas ortodoncistas de la universidad de Chile.
Su objetivo es brindar a nuestros pacientes la mejor atención en esta especialidad de la odontología con aranceles al alcance de todos.
Este proyecto se desarrolla en nuestra clínica dental de Rancagua, y es atendida por odontólogos de prestigiosas universidades nacionales.
Nuestras clínicas dentales están autorizadas por el Ministerio de Salud.
Realizamos tratamientos de ortodoncia convencional, ortodoncia estética, ortodoncia quirúrgica y ortopedia de los maxilares.
¿POR QUÉ CONSULTARNOS?
Porque encontrarás la mejor alternativa profesional y con los más altos estándares de calidad a precios accesibles
Quiénes Somos
Una agrupación de especialistas de ortodoncia formados en la Universidad de Chile que decidió entregar su experiencia a través de una clínica de ortodoncia con aranceles preferenciales al alcance de todos.
Nuestra práctica profesional está dirigida tanto a niños y adolescentes como a pacientes adultos a los cuales dependiendo de cada caso otorgaremos el tratamiento adecuado con la mejor tecnología puesta a su disposición.
Nuestros objetivos
- Atención profesional, diagnóstico y tratamiento de excelencia.
- Dar la mejor atención a nuestros pacientes, con un trato personalizado.
- Obtener los mejores resultados estéticos y funcionales.
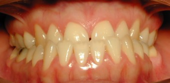
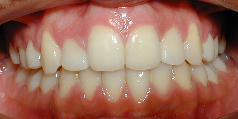
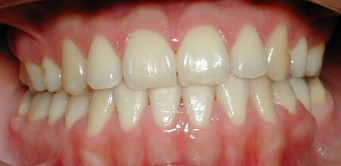
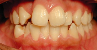
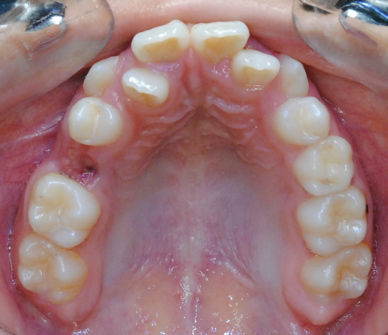
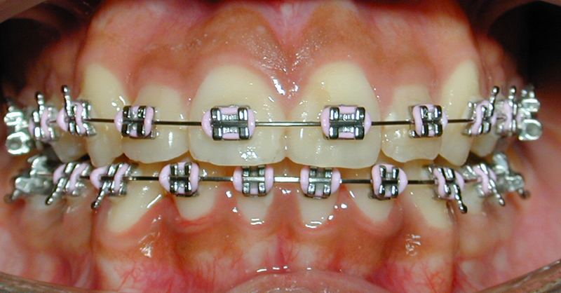
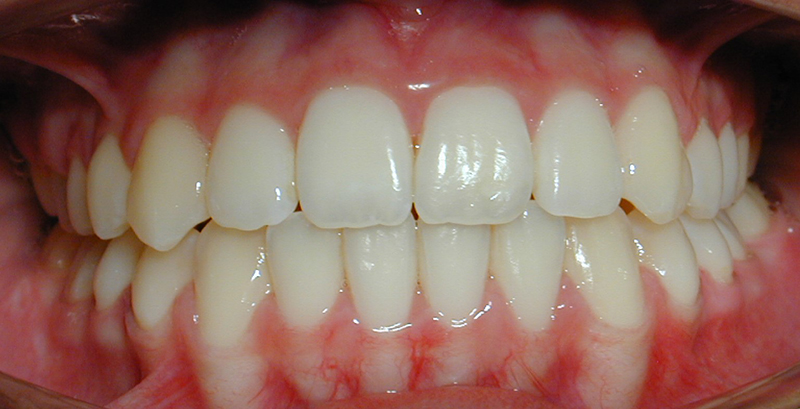
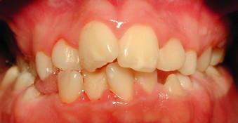
Casos Clínicos
Le invitamos a revisar algunos de nuestros casos clínicos de ortodoncia, documentados fotográficamente. Donde Observará los resultados del tratamiento aplicado.
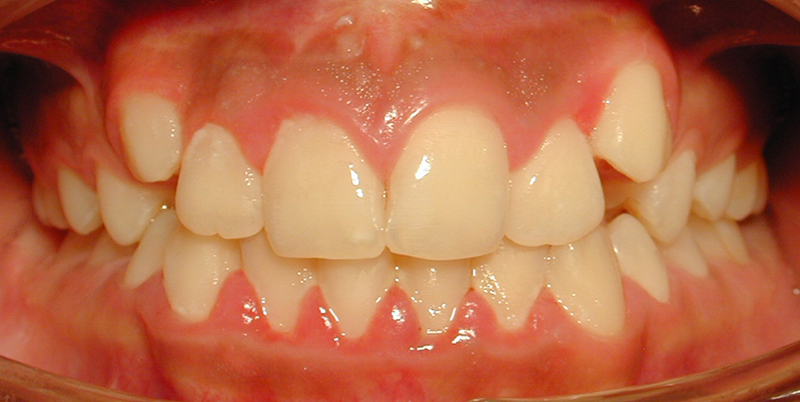
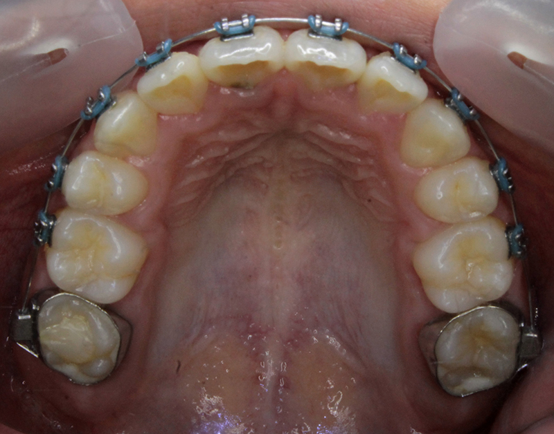
Inicial
Tratamiento
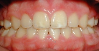
Inicial
Tratamiento
Final
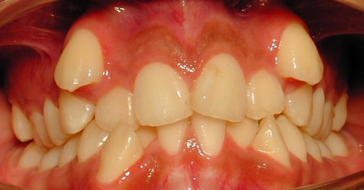
Inicial
Tratamiento
Final
Inicial
Tratamiento
Final
Inicial
Tratamiento
Inicial
Tratamiento
Inicial
Tratamiento
Final
Ortodoncia
¿Qué es la Ortodoncia?
Es la rama de la odontología que se especializa en el diagnóstico, prevención y tratamiento de las anomalías y deformaciones dentarias y maxilofaciales.
Los especialistas en ortodoncia han recibido una formación de post-grado de 3 años más que los capacita para solucionar las anomalías en forma responsable y segura para el paciente.
Los daños al esmalte y las caries se producen por la falta de cuidado y cepillado deficiente de los aparatos.
Es un cirujano-dentista que se especializa, una vez titulado, durante 3 años más en un post grado para obtener el título de especialista en ortodoncia y ortopedia dentomaxilofacial.
La oportunidad del tratamiento debe ser evaluada para cada paciente con un diagnóstico preciso y esta depende del tipo de anomalía NO DE LA EDAD.
Existen diferentes alternativas de tratamiento independiente de la edad del paciente según las características de su hueso y sus raíces dentarias.

